インビザライン治療 症例

20代男性「ガタガタの前歯が気になる」インビザラインフルで歯を抜かずに改善した症例

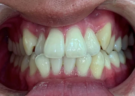
ご相談内容

「ガタガタの前歯が気になる」とご相談いただきました。

カウンセリング・診断結果

上下左右の前歯(中切歯/1番と側切歯/2番)と犬歯(3番)がガタガタに生えている「叢生(そうせい)」で、奥歯はきれいに並んでいる「臼歯部1級」の状態でした。
患者様は「歯を抜かずに治したい」とご希望されていました。

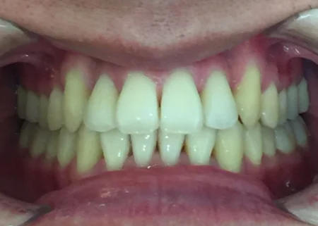
行ったご提案・治療内容

歯を抜かずに、奥歯から動かして歯並びを整えることができるマウスピース型の矯正装置「インビザラインフル」をご提案しました。
上下左右の前歯の叢生の改善と犬歯が正しい噛み合わせになるよう気をつけながら治療を行いました。

術後の経過・現在のご様子

前歯と犬歯のガタガタが改善し、しっかり嚙めるようになりました。
現在はホワイトニングでご通院いただいています。

この治療のリスクについて

・決められたアライナーの装着時間を守らないと、次のアライナーに交換できず、治療が遅れたり十分な効果が得られない場合があります。
・歯を抜いた後に矯正する場合や、あごの骨格に問題がある場合など、マウスピース矯正に対応していない症例は、治療が困難な可能性もあります。
・治療による歯の移動に伴って、痛みや違和感を感じる場合があります。
・他の矯正治療と同様に、正しく歯磨きやメンテナンスを行わないと虫歯や歯周病のリスクが高まります。

  • 年齢・性別20代男性
  • 診療種別自由診療
  • 治療期間の目安1年10ヶ月

    治療費総額の目安695,000円
    <内訳>
    インビザライン治療費580,000円
    検査代30,000円
    矯正経過管理料5,000円×11回
    保定装置代30,000円

    ※掲載された情報は治療の効果を保証するものではありません。
    ご利用により万一何らかの損害が発生したとしても、当サイトは一切責任を負いかねますのでご了承ください。
PC・スマホでかんたんインターネット予約
三井アウトレットパークバス停徒歩5分 本院ご予約
高速出口すぐそばのショッピングモール内 大曲医院ご予約
札幌中心街、チカホから直結のmoyuk2F moyuk Sapporo院ご予約
オススメの関連記事