
20代女性「ガタガタの歯と、口元が出ているのが気になる」歯を抜いた後にマウスピース矯正「インビザラインフル」を使用し、歯並びと突き出した唇を治療した症例


ご相談内容
「歯並びがガタガタしているのと、口元が前に出ているのが気になっている」とご相談いただきました。
カウンセリング・診断結果
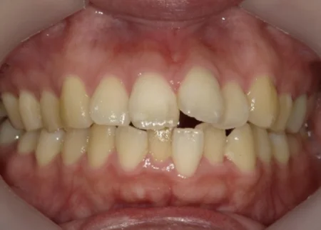
拝見したところ、前歯の一部が内側に入り込んだり外側に飛び出したりして、歯並びが全体的にガタガタとしている「叢生(そうせい)」でした。
特に左上の前歯(中切歯/1番)は、ねじれて前方に出ており、上下のかみ合わせも悪くなっていました。
顔全体のレントゲンを撮影して調べたところ、歯が並ぶためのスペースが不足し、上下のあごが前に突き出ているため口元が出てしまう「ロゴボ」でした。
行ったご提案・治療内容
抜歯を行ってスペースを確保してから、マウスピース型矯正装置「インビザラインフル」で前歯をしっかりと後ろに移動させて、歯並びと口元を整える治療をご提案し、ご了承をいただきました。
まず右の上下と左下の歯(第1小臼歯/4番)および左上の歯(第2小臼歯/5番)を計4本抜いて、傷が治るのを待ってから、マウスピースを作製し矯正を開始しました。
歯を抜いた後は大きなスペースがあるので、移動させる歯が傾いてしまわないように注意する必要があります。
そのため、マウスピースと歯がしっかり合っていることをよく確認し、歯がまっすぐ並ぶよう慎重に矯正を行いました。
また移動の途中で少し傾いてしまった歯に対しては、マウスピースをカットして調整したり、歯に付けた小さな突起にゴムをかけて動かしたりなど、様々な「リカバリーテクニック」で都度改善して歯並びを整えていきました。
術後の経過・現在のご様子
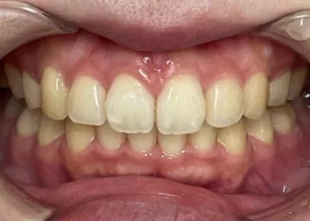
歯がきれいにまっすぐ並び、前歯のかみ合わせも改善されました。
また、上下のあごが後ろに下がり、横から見たときも口元の突き出た感じが無くなりました。
患者様からは「口が閉じやすくなり、唇が下がったことで横顔にも自信を持つことができた。自分のことが以前よりも好きになった」と喜びのお言葉をいただきました。
この治療のリスクについて
・決められたアライナーの装着時間を守らないと、次のアライナーに交換できず、治療が遅れたり十分な効果が得られない場合があります。
・歯を抜いた後に矯正する場合や、あごの骨格に問題がある場合など、マウスピース矯正に対応していない症例は、治療が困難な可能性もあります。
・治療による歯の移動に伴って、痛みや違和感を感じる場合があります。
・他の矯正治療と同様に、正しく歯磨きやメンテナンスを行わないと虫歯や歯周病のリスクが高まります。
- 年齢・性別20代女性
- 診療種別自由診療
- 治療期間の目安1年2ヶ月
治療費総額の目安総額900,000円
<内訳>
検査代30,000
インビザライン治療580,000
抜歯代5,000×4
保定装置代30,000
経過管理料5,000×13回
※掲載された情報は治療の効果を保証するものではありません。
ご利用により万一何らかの損害が発生したとしても、当サイトは一切責任を負いかねますのでご了承ください。








