
10代女性「前歯が外向きに生えて隙間がある。口が閉じにくい」出っ歯とすきっ歯をマウスピース型矯正「インビザラインフル」で治療した症例


ご相談内容
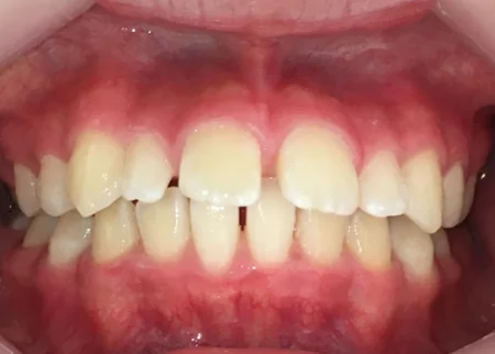
「上の前歯が外を向いていて隙間がある。口も閉じにくい」とご相談をいただきました。
カウンセリング・診断結果
上の前歯が唇側に斜めに前開きになっている「出っ歯」と、歯と歯の間に隙間がある「すきっ歯」でした。
患者様は「バレエを習っているが、歯並びが気になるので口を閉じて笑うようにしている」とお話しされました。
患者様はまだ中学生で、すべての永久歯が生えそろっていませんでしたが、矯正治療で出っ歯もすきっ歯も改善することが可能と診断しました。
行ったご提案・治療内容
今後の永久歯の生え変わりを考慮し、矯正中に奥歯が生えてきてもマウスピースを作り直せるなど長期間対応できるマウスピース型矯正装置「インビザラインフル」での治療をご提案しました。
また、遠方から通院されている患者様だったため、通院回数がなるべく少なくなるように治療計画を設計しました。
術後の経過・現在のご様子
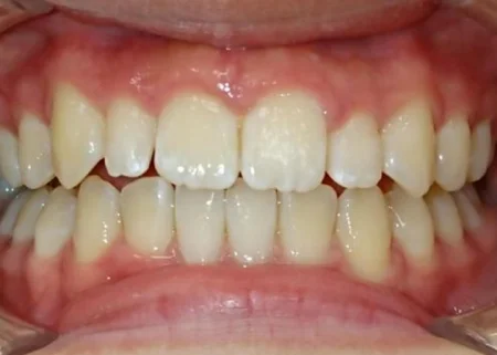
前歯がまっすぐ並び、隙間もなくなり、美しい歯並びになりました。
患者様にも「口を大きく開けて笑えるようになった」と喜んでいただけています。
この治療のリスクについて
・決められたアライナーの装着時間を守らないと、次のアライナーに交換できず、治療が遅れたり十分な効果が得られない場合があります。
・歯を抜いた後に矯正する場合や、あごの骨格に問題がある場合など、マウスピース矯正に対応していない症例は、治療が困難な可能性もあります。
・治療による歯の移動に伴って、痛みや違和感を感じる場合があります。
・他の矯正治療と同様に、正しく歯磨きやメンテナンスを行わないと虫歯や歯周病のリスクが高まります。
- 年齢・性別10代女性
- 診療種別自由診療
- 治療期間の目安1年4ヶ月
- 治療費総額の目安約645,000円
<内訳>
インビザライン治療費:580,000円
検査代:30,000円
矯正経過管理料:5,000円
保定装置代30,000円
※掲載された情報は治療の効果を保証するものではありません。
ご利用により万一何らかの損害が発生したとしても、当サイトは一切責任を負いかねますのでご了承ください。








