
20代女性「下の前歯の隙間が気になる」抜けたように見える部分をマウスピース矯正「インビザラインフル」で整えた症例


ご相談内容
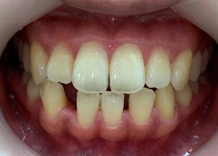
「下の前歯の隙間が気になる。歯がないように見えるので上手く笑えない」とご相談をいただきました。
カウンセリング・診断結果
診察したところ、右下の前歯(側切歯/2番)が生まれつきない「先天性欠損」で、本来生えるはずの部分が隙間となり、歯と歯の間が大きく開いていました。
前歯という正面から見える部分のため、患者様は口を開けて笑うことができないほど気にされていました。
行ったご提案・治療内容
先天性欠損の治療として、2つの方法をご提案しました。1つ目は、歯と歯の間の空間を矯正治療で1ヶ所に集めた後に、その両端の歯を削って土台にしてから人工の歯を橋渡しする「ブリッジ治療」、もしくは手術で人工歯を埋め込む「インプラント治療」。2つ目は、人工歯は使わずに現在の歯の本数のまま、マウスピースを使って歯を寄せていく矯正治療「インビザラインフル」です。
この2つの治療方法を詳しくご説明したところ、患者様は「天然歯を削りたくない。手術はしたくない」とご希望され、インビザラインフルを使った矯正治療をご選択されました。
下の歯の本数が上に比べて少ないので、ただ空間をなくす矯正治療だと上下のアーチ(歯が並ぶ曲線)の大きさに差が出てしまいます。そのため、アーチが大きく変わらないように、慎重に治療計画を設計し全体のバランスを考えて治療を進めました。
その結果、顎の動きに負担がなく、アーチに大きな差もなく隙間を埋めることができました。また、「ガイド」と言われる下顎を前に動かした際に前歯が誘導する動き、また左右に動かす際の犬歯が誘導する動きもスムーズに問題なく矯正できました。
術後の経過・現在のご様子
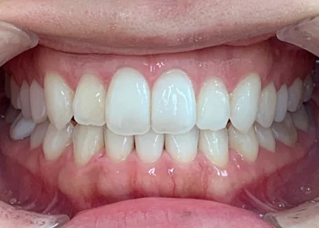
前歯の隙間がきちんと埋まり、きれいな歯並びになりました。
患者様は仕上がりに非常にご満足され、続けて「ホワイトニング」治療も行いました。ホワイトニングも終了し、以前よりも自然な笑顔が増えました。
この治療のリスクについて
・決められたアライナーの装着時間を守らないと、次のアライナーに交換できず、治療が遅れたり十分な効果が得られない場合があります。
・歯を抜いた後に矯正する場合や、あごの骨格に問題がある場合など、マウスピース矯正に対応していない症例は、治療が困難な可能性もあります。
・治療による歯の移動に伴って、痛みや違和感を感じる場合があります。
・他の矯正治療と同様に、正しく歯磨きやメンテナンスを行わないと虫歯や歯周病のリスクが高まります。
- 年齢・性別20代女性
- 診療種別自由診療
- 治療期間の目安2年
治療費総額の目安総額685,000円
【内訳】
インビザラインフル治療:580,000円
検査代:30,000円
矯正経過管理料:5,000円×9回
保定装置代30,000円
※掲載された情報は治療の効果を保証するものではありません。
ご利用により万一何らかの損害が発生したとしても、当サイトは一切責任を負いかねますのでご了承ください。








