
10代女性「ガタガタと前歯が出ていて気になって笑えない」歯を抜かずにマウスピース矯正「インビザラインフル」で歯並びを改善した症例


ご相談内容
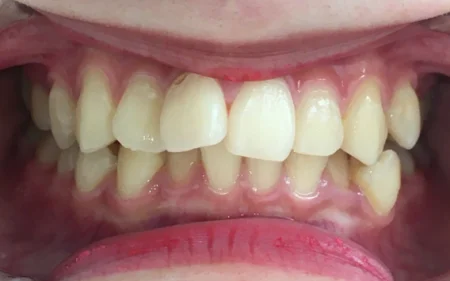
「ガタガタと前歯が出ている感じがして気になって笑えない」とご相談をいただきました。
カウンセリング・診断結果
拝見したところ、永久歯は全て生えそろっていましたが、上下の前歯の一部が内側に倒れていたり、ねじれていてまっすぐに生えていませんでした。
また、左下の奥歯(第1小臼歯/4番)は、本来の位置より少し外側に生えてきていました。
歯並びが全体的にガタガタとしている「叢生(そうせい)」の状態で、かみ合わせも悪くなっていました。
上の前歯と下の前歯がうまくかみ合わないことで奥歯に負担がかかっていました。
上下のあごのバランスは正常だったため、前歯の傾きやねじれ、生えている位置を矯正治療で改善すれば、かみ合わせも良くなると考えました。
患者様からは「歯を抜きたくない。留学の予定があるので短期間で治療したい」とご希望がありました。
行ったご提案・治療内容
患者様のご希望に沿って、歯を抜かずに、マウスピースを用いて奥歯を後方に動かしスペースを確保してから、前歯をきれいに並べる矯正治療「インビザラインフル」をご提案しました。
また、歯を抜かずになるべく短期間で歯並びを整えるために、歯と歯の隙間を少し削ってスペースを確保する「IPR」という治療もあわせて行いました。
術後の経過・現在のご様子
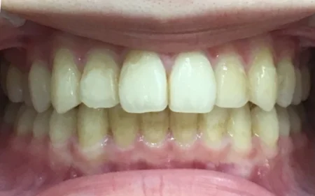
前歯の傾きやねじれが改善され、歯もまっすぐきれいに並びました。
また、前歯のかみ合わせも改善されたため、奥歯の負担が軽減されました。
歯並びが気にならなくなったことで患者様の笑顔も増え、非常にご満足されていました。
この治療のリスクについて
・決められたアライナーの装着時間を守らないと、次のアライナーに交換できず、治療が遅れたり十分な効果が得られない場合があります。
・歯を抜いた後に矯正する場合や、あごの骨格に問題がある場合など、マウスピース矯正に対応していない症例は、治療が困難な可能性もあります。
・治療による歯の移動に伴って、痛みや違和感を感じる場合があります。
・他の矯正治療と同様に、正しく歯磨きやメンテナンスを行わないと虫歯や歯周病のリスクが高まります。
- 年齢・性別10代女性
- 診療種別自由診療
- 治療期間の目安1年未満
- 治療費総額の目安
【内訳】
635,000円
(インビザライン治療費580,000円、検査代30,000円、矯正経過管理料5,000円×5回)
※掲載された情報は治療の効果を保証するものではありません。ご利用により万一何らかの損害が発生したとしても、当サイトは一切責任を負いかねますのでご了承ください。








