
20代女性「ガタガタの前歯が気になる」出っ歯気味で噛み合わせが悪い歯並びをマウスピース型矯正「インビザラインフル」により歯を抜かず短期間で美しく整えた症例


ご相談内容
「前歯の歯並びが気になるので整えたい」とご相談をいただきました。
カウンセリング・診断結果
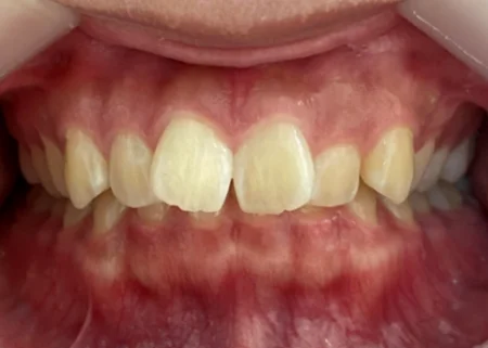
拝見したところ、歯がでこぼこに生える「叢生(そうせい)」が上の前歯4本に見られました。
具体的には、中心の2本(左右の中切歯/1番)がそれぞれ外側にねじれて「人」の字のような形で生えており、外側の2本(左右の側切歯/2番)は他の歯に比べて少し内側に傾いて生えていました。
また、程度は軽いものの噛み合わせが深く下の歯がほとんど見えない「過蓋咬合(かがいこうごう)」で、やや出っ歯気味でした。
過蓋咬合は見た目が良くないだけではなく、下あごに負担がかかりやすく、顎関節症の原因にもなり得ます。そのため、矯正治療で改善する必要があります。
患者様からは「歯は抜きたくない。また、治療は短期間で終わらせたい」とのご希望をお伺いしました。
行ったご提案・治療内容
透明のマウスピース「アライナー」の形状を少しずつ変えて段階的に歯を移動させる、お口全体の矯正治療「インビザラインフル」をご提案しました。
インビザラインフルは、今回の患者様のような軽度の叢生や過蓋咬合の歯並びに効果が期待でき、他の矯正治療に比べて通院回数も少なく済むことをご説明し、同意をいただきました。
本来の過蓋咬合の治療では、上の歯を抜いて前歯が収まるスペースを確保してから矯正治療を始める方がより噛み合わせの改善が見込めます。しかし、歯を抜くと治療期間が長引き、抜いた部分を埋めるための歯の平行移動はマウスピース型矯正に不向きでした。また、今回の患者様の場合、歯を抜かなくても効果が得られる可能性が高かったため、患者様のご希望に沿う方法として、抜歯なしでインビザライン治療を開始しました。
インビザライン治療は、1枚のアライナーでどこまで歯を移動させるかによって治療期間が変わります。一度に大きく移動させると治療期間は縮まりますが、歯の移動に伴う痛みやお口の中への影響なども考慮しなければなりません。
患者様と相談のうえ、できるだけ短期間かつ効率的に理想的な歯並びになるよう治療計画を工夫し、特にお悩みだった前歯部分がしっかり整うように気を付けました。
治療中は定期的にご通院いただき、歯並びの治療経過および虫歯や歯周病などのお口の中のトラブルがないかをチェックしました。
術後の経過・現在のご様子
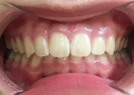
前歯が美しく整い、大変ご満足されていました。
患者様からは「歯並びを気にしなくなり、笑顔が増えた」と嬉しいお言葉をいただきました。
現在は後戻り防止のための保定装置を一定期間装着していただいており、今後も定期的にご通院いただく予定です。
この治療のリスクについて
・決められたアライナーの装着時間を守らないと、次のアライナーに交換できず、治療が遅れたり十分な効果が得られない場合があります。
・歯を抜いた後に矯正する場合や、あごの骨格に問題がある場合など、マウスピース矯正に対応していない症例は、治療が困難な可能性もあります。
・治療による歯の移動に伴って、痛みや違和感を感じる場合があります。
・他の矯正治療と同様に、正しく歯磨きやメンテナンスを行わないと虫歯や歯周病のリスクが高まります。
- 年齢・性別20代女性
- 診療種別自由診療
- 治療期間の目安1年6ヶ月
- 治療費総額の目安約660,000円
【内訳】
インビザライン治療費:580,000円
検査代:30,000円
矯正経過管理料:20,000円(5,000円×4回)
保定装置代:30,000円
※掲載された情報は治療の効果を保証するものではありません。
ご利用により万一何らかの損害が発生したとしても、当サイトは一切責任を負いかねますのでご了承ください。








