
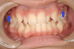
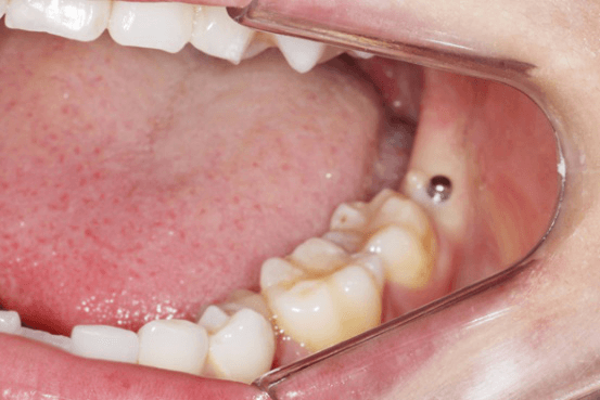
矯正用ミニインプラント


矯正用ミニインプラントは、矯正治療用に開発された6~10mm程度の小さいスクリュー(ネジ)を顎の骨に埋め込み、これを固定源として歯を動かす治療法です。
今までの矯正治療では動かすことが難しかった歯を動かすことができるようになったり、従来では抜歯が必要な症例において、抜歯を回避した治療が可能になるなど、矯正治療の幅が大きく広がりました。
矯正治療では、ある歯を動かすと他の歯に必ず反作用が発生し、動いてほしくない歯まで動いてしまいます。そうすると、予定していた歯の移動ができなくなります。そこで、今まではヘッドギア-や顎間ゴム、ホールディングアーチなど固定源を考えて、患者様の協力とともに固定源の確保をしていましたが、患者様の協力度によって、治療が左右されることにもなりました。矯正用ミニインプラントを使用することで、安定した固定源が確保できることになり、より確実に治療目標を達成できるようになり、快適に治療ができるようになりました。症例によっては治療期間の短縮につながることがあります。
インプラント矯正のアンカースクリューは生体親和性に優れたチタンでできています。
矯正治療で歯の移動が終了し必要がなくなったら、アンカースクリューははずします。はずした後、骨や歯肉は元のように戻りますのでご安心ください。








